PrognoHealth – Corporate Health & Wellness Specialist

Last Updated on: September 2, 2025

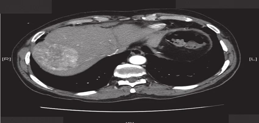
CT Scan of the Abdomen Triphasic Liver

A CT scan of the abdomen triphasic liver is a specialized medical imaging test that allows doctors to evaluate the liver and surrounding organs in great detail. This test combines X-ray technology with computer processing to create highly-detailed images of the liver, which can be used to diagnose and monitor a variety of liver diseases, including cancer, cirrhosis, and hepatitis. In this blog post, we will discuss how this test is conducted, what are the common symptoms for ordering the test, how to prepare for the test, how long does it take, and how the results are interpreted.

Test procedure and preparation : Before the CT scan, the patient may be asked to remove any metal objects, such as jewelry or dentures, and to wear a hospital gown. The patient will then lie down on a table that slides into a large, doughnut-shaped machine that emits X-rays. The machine will take a series of cross-sectional images of the abdomen, which will be processed by a computer to create detailed, 3D images of the liver. During the scan, the patient may be asked to hold their breath or to stay still to avoid any blurring of the images.

In some cases, the doctor may require the use of contrast dye, which helps highlight the blood vessels in and around the liver. The contrast dye may be given intravenously, and the patient may be asked to fast for several hours before the test to avoid any interference with the absorption of the dye.

Common symptoms for ordering the test : A CT scan of the abdomen triphasic liver may be ordered by a doctor if the patient is experiencing symptoms such as abdominal pain, bloating, nausea, vomiting, fever, fatigue, or unexplained weight loss. This test may also be used to monitor the progression of a known liver condition or to evaluate the effectiveness of a treatment.

Time taken for the test and results interpretation : The duration of the CT scan of the abdomen triphasic liver depends on the complexity of the images required and whether or not a contrast dye is used. Typically, the test takes between 30 minutes to an hour to complete. After the test, the images will be reviewed by a radiologist, who will provide a report to the doctor. The doctor will then discuss the results with the patient, which may include further testing, treatment, or referral to a specialist.

A CT scan of the abdomen triphasic liver may be included in a comprehensive health checkup, which is a series of medical tests and screenings that are performed to evaluate a person’s overall health and well-being. A health checkup may also include blood tests, urine tests, electrocardiograms, and other imaging tests, such as a mammogram or a bone density scan.

In the context of corporate health and wellness, a CT scan of the abdomen triphasic liver may be offered as part of an employee health program, which aims to promote the health and productivity of the workforce. This program may include regular health screenings, wellness coaching, fitness classes, and other health-related services.

In conclusion, a CT scan of the abdomen triphasic liver is a valuable diagnostic tool that can help doctors diagnose and monitor a variety of liver diseases. If you are experiencing any symptoms that may indicate a problem in the liver, or if you are due for a routine health checkup, speak with your doctor about whether a CT scan may be appropriate for you.

“Understanding Triphasic Liver CT Scans: Procedure, Benefits, and Applications

Introduction:

Triphasic liver CT scans are advanced imaging studies used to evaluate liver anatomy and function, providing detailed information about blood supply, tumor characteristics, and overall liver health. In this comprehensive guide, we’ll explore the procedure, benefits, and diverse applications of triphasic liver CT scans, shedding light on their importance in diagnosing and managing various liver conditions.

Procedure of Triphasic Liver CT Scan:

A triphasic liver CT scan involves three distinct phases: arterial, portal venous, and delayed phases. During the procedure, contrast material is injected intravenously, followed by sequential imaging at specific time intervals to capture the dynamic enhancement patterns of liver tissues and blood vessels. Radiologists carefully analyze the images obtained in each phase to assess liver morphology, detect abnormalities, and evaluate blood flow dynamics.

Benefits of Triphasic Liver CT Scan:

Triphasic liver CT scans offer several key benefits for diagnosing and managing liver conditions:

High Sensitivity for Tumor Detection: By capturing multiple phases of contrast enhancement, triphasic CT scans provide superior sensitivity for detecting liver tumors, including hepatocellular carcinoma (HCC), liver metastases, and other focal lesions.

Comprehensive Evaluation of Liver Vasculature: The arterial, portal venous, and delayed phases of the scan allow for detailed assessment of liver vasculature, including arterial blood supply, portal venous flow, and hepatic venous drainage.

Accurate Staging and Characterization of Liver Lesions: Triphasic CT scans facilitate accurate staging and characterization of liver lesions, helping clinicians differentiate between benign and malignant tumors, assess tumor vascularity, and plan appropriate treatment strategies.

Evaluation of Liver Function and Parenchymal Abnormalities: By visualizing liver enhancement patterns and parenchymal abnormalities in different phases, triphasic CT scans provide valuable insights into liver function, perfusion, and tissue composition.

Guided Biopsy and Interventional Procedures: Triphasic CT scans can guide liver biopsy and interventional procedures by precisely localizing target lesions, identifying optimal biopsy sites, and minimizing the risk of complications.

Applications of Triphasic Liver CT Scan:

Triphasic liver CT scans are utilized for various diagnostic and therapeutic purposes, including:

Screening and surveillance for hepatocellular carcinoma (HCC) in high-risk individuals, such as patients with cirrhosis or chronic hepatitis B/C.

Detection and characterization of liver metastases from primary malignancies in other organs.

Evaluation of portal vein thrombosis, hepatic artery variants, and biliary abnormalities.

Assessment of liver abscesses, cysts, hemangiomas, and other focal lesions.

Monitoring treatment response and disease progression in patients undergoing liver-directed therapies, such as transarterial chemoembolization (TACE) or radiofrequency ablation (RFA).

Interpretation and Follow-Up Recommendations:

Interpretation of triphasic liver CT scans requires expertise in radiology and hepatology to accurately analyze imaging findings, correlate with clinical data, and provide clinically relevant recommendations. Radiologists assess various parameters, including lesion size, enhancement patterns, vascular involvement, and extrahepatic extension, to formulate comprehensive diagnostic reports and follow-up recommendations tailored to individual patient needs.

Conclusion:

Triphasic liver CT scans represent a cornerstone in the diagnosis and management of liver diseases, offering unparalleled insights into liver anatomy, function, and pathology. By leveraging advanced imaging techniques and multidisciplinary expertise, triphasic CT scans empower clinicians to make informed decisions, optimize treatment strategies, and improve patient outcomes in the management of liver conditions.”

Leave a Reply

Get A Quote



    Request Callback From Health Advisor

    4.7

    Based on 423

    google

    Reviews

    Why Choose PrognoHealth..??

    • Best health services from different health service providers offered under one umbrella.

    • Big savings on your healthcare cost

    • Choice & convenience to your employees to avail health services at any of our network centers

    • Customized Health Packages