PrognoHealth – Corporate Health & Wellness Specialist

Last Updated on: September 2, 2025

CT scan of the abdomen with contrast

A CT scan of the abdomen with contrast is a specialized medical imaging test that is used to evaluate the organs and structures within the abdomen. This test combines X-ray technology with the use of a contrast dye, which helps to enhance the images of the organs and structures. In this blog post, we will discuss how this test is conducted, what are the common symptoms for ordering the test, how to prepare for the test, how long does it take, and how the results are interpreted.

Test procedure and preparation : Before the CT scan, the patient may be asked to remove any metal objects, such as jewelry or dentures, and to wear a hospital gown. The patient will then lie down on a table that slides into a large, doughnut-shaped machine that emits X-rays. During the scan, the patient may be asked to hold their breath or to stay still to avoid any blurring of the images.

In some cases, the doctor may require the use of contrast dye, which helps to highlight the blood vessels and organs within the abdomen. The contrast dye may be given orally or intravenously, depending on the reason for the test. The patient may also be asked to fast for several hours before the test to avoid any interference with the absorption of the contrast dye.

Common symptoms for ordering the test : A CT scan of the abdomen with contrast may be ordered by a doctor if the patient is experiencing symptoms such as abdominal pain, bloating, nausea, vomiting, fever, or unexplained weight loss. This test may also be used to monitor the progression of a known condition or to evaluate the effectiveness of a treatment.

Time taken for the test and results interpretation : The duration of the CT scan of the abdomen with contrast depends on the complexity of the images required and whether or not a contrast dye is used. Typically, the test takes between 30 minutes to an hour to complete. After the test, the images will be reviewed by a radiologist, who will provide a report to the doctor. The doctor will then discuss the results with the patient, which may include further testing, treatment, or referral to a specialist.

Using health checkup, wellness, and corporate health as keywords :

A CT scan of the abdomen with contrast may be included in a comprehensive health checkup, which is a series of medical tests and screenings that are performed to evaluate a person’s overall health and well-being. A health checkup may also include blood tests, urine tests, electrocardiograms, and other imaging tests, such as a mammogram or a bone density scan.

In the context of corporate health and wellness, a CT scan of the abdomen with contrast may be offered as part of an employee health program, which aims to promote the health and productivity of the workforce. This program may include regular health screenings, wellness coaching, fitness classes, and other health-related services.

In conclusion, a CT scan of the abdomen with contrast is a valuable diagnostic tool that can help doctors diagnose and monitor a variety of conditions within the abdomen. If you are experiencing any symptoms that may indicate a problem in the abdomen, or if you are due for a routine health checkup, speak with your doctor about whether a CT scan may be appropriate for you

“Understanding Abdominal CT Scans with Contrast: Procedure, Benefits, and Interpretation

Introduction:

Abdominal CT scans with contrast play a crucial role in diagnosing and evaluating a wide range of abdominal conditions. This comprehensive guide provides insights into the procedure, benefits, and interpretation of abdominal CT scans with contrast, shedding light on their importance in clinical practice.

What is Contrast in CT Scan?

Contrast in CT scans refers to a substance, typically iodine-based, that is administered intravenously to enhance the visibility of blood vessels, organs, and tissues on imaging. Contrast helps differentiate between normal and abnormal structures, improving the accuracy of diagnosis and assessment.

Procedure for Abdominal CT Scan with Contrast:

Before the scan, patients may be asked to fast for a few hours to ensure optimal imaging quality. Once in the CT scanner, a contrast agent is injected intravenously, followed by sequential imaging of the abdomen. The contrast material highlights blood vessels and enhances the visualization of organs and tissues, providing detailed images for interpretation by radiologists.

Benefits of Abdominal CT Scan with Contrast:

Abdominal CT scans with contrast offer several benefits:

Improved Visualization: Contrast enhances the visibility of blood vessels, organs, and abnormalities, allowing for more accurate diagnosis and assessment.

Enhanced Diagnostic Accuracy: The use of contrast helps differentiate between normal and abnormal structures, aiding in the detection and characterization of various conditions.

Comprehensive Evaluation: Contrast-enhanced CT scans provide detailed images of the abdomen, facilitating the assessment of tumors, inflammation, infection, and other pathologies.

Treatment Planning: The detailed images obtained from contrast-enhanced CT scans help guide treatment planning and interventions, such as surgery, chemotherapy, or radiation therapy.

Monitoring Response to Treatment: Follow-up CT scans with contrast can monitor the response to treatment and detect any changes in the size or characteristics of abnormalities over time.

Preparation for Abdominal CT Scan with Contrast:

Patients may be instructed to fast for several hours before the scan and avoid certain medications that could interfere with the imaging process. It’s essential to inform the healthcare team about any allergies, pre-existing medical conditions, or medications being taken, as well as any previous adverse reactions to contrast agents.

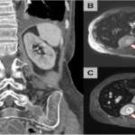
Interpretation of Abdominal CT Scan with Contrast:

Radiologists interpret the images obtained from abdominal CT scans with contrast, analyzing the size, shape, density, and enhancement patterns of various structures. They look for signs of abnormalities, such as tumors, cysts, inflammation, or bleeding, and provide a detailed report to the referring physician for further evaluation and management.

Risks and Side Effects:

While abdominal CT scans with contrast are generally safe, some individuals may experience allergic reactions or adverse effects to the contrast material, such as nausea, vomiting, or allergic skin reactions. Rarely, more severe reactions, such as anaphylaxis or kidney injury, may occur, particularly in patients with pre-existing kidney disease or allergies to iodinated contrast.

Conclusion:

Abdominal CT scans with contrast are valuable diagnostic tools that provide detailed images of the abdomen, helping healthcare providers diagnose and evaluate a wide range of conditions. By enhancing the visibility of structures and abnormalities, contrast-enhanced CT scans play a crucial role in guiding treatment decisions, monitoring disease progression, and improving patient outcomes in clinical practice.”

Leave a Reply

Get A Quote



    Request Callback From Health Advisor

    4.7

    Based on 423

    google

    Reviews

    Why Choose PrognoHealth..??

    • Best health services from different health service providers offered under one umbrella.

    • Big savings on your healthcare cost

    • Choice & convenience to your employees to avail health services at any of our network centers

    • Customized Health Packages