PrognoHealth – Corporate Health & Wellness Specialist

Last Updated on: April 24, 2024

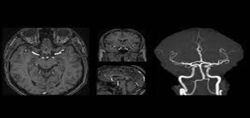
MRI Angiography Of Brain Or MRA Of Brain

Magnetic Resonance Angiography (MRA) of the brain is a non-invasive medical imaging test that uses a powerful magnetic field, radio waves, and a computer to create detailed images of the blood vessels in the brain. It provides valuable information about the structure and function of the blood vessels, helping physicians diagnose and treat a variety of conditions.

The Test Procedure:

During an MRA of the brain, the patient lies on a table that slides into a tunnel-shaped machine. The patient’s head is secured with straps, and they are provided with earplugs to protect against the loud banging and knocking noises the machine makes during the procedure. The test typically takes between 30 to 60 minutes to complete, depending on the complexity of the images required.

To create clear and detailed images, the patient must remain still during the test. The technician will provide the patient with instructions and may use a communication system to keep in touch with the patient during the procedure.

Test Preparation:

Preparation for an MRA of the brain may vary depending on the type of scan ordered by the physician. Generally, the patient is instructed to avoid wearing any metallic objects, such as jewelry, watches, or clothing with metal zippers, during the procedure. Patients should also inform the technician if they have any implanted medical devices, such as pacemakers, as these may interfere with the MRI machine.

Patients may be asked to avoid eating or drinking for several hours before the test, especially if they are undergoing a contrast-enhanced scan. The technician will provide specific instructions to the patient before the test.

Common Symptoms for Ordering the Test:

An MRA of the brain may be ordered by a physician for a variety of reasons, including the following symptoms:

Headaches
Dizziness or vertigo
Numbness or tingling
Vision problems
Memory loss or confusion
Suspected aneurysm or other vascular abnormalities
Suspected stroke or other cerebrovascular disorders
Suspected arteriovenous malformations (AVMs) or other vascular tumors

Health Checkup, Wellness, and Corporate Health:

MRA of brain

An MRA of the brain may be included as part of a comprehensive health checkup or wellness program, especially for individuals at higher risk of cerebrovascular disorders. Corporate health programs may also offer MRA of the brain as a screening tool for employees, especially those who work in high-stress or high-risk environments.

The results of an MRA of the brain may help physicians identify potential health risks and develop personalized treatment plans. In some cases, early detection of cerebrovascular disorders can improve the effectiveness of treatment and increase the chances of successful recovery.

Interpretation of Results:

Interpreting the results of an MRA of the brain requires specialized training and expertise. The images produced by the MRA machine are highly detailed and may reveal subtle changes in the blood vessels of the brain. A radiologist or neurologist typically reviews the images and provides a report to the referring physician.

The results of an MRA of the brain may indicate the presence of aneurysms, AVMs, or other vascular abnormalities that require further testing or treatment. The images may also reveal evidence of stroke or other cerebrovascular disorders, such as narrowing or blockage of the blood vessels in the brain.

In some cases, the results of an MRA of the brain may be inconclusive or require further testing or evaluation. The physician will discuss the results with the patient and develop a treatment plan based on the findings.

In conclusion, an MRA of the brain is a valuable diagnostic tool that provides detailed information about the blood vessels in the brain. The test is non-invasive and painless, making it an ideal screening tool for individuals

“Demystifying MRA vs. MRI: Understanding the Differences and Applications

In the realm of diagnostic imaging, Magnetic Resonance Imaging (MRI) and Magnetic Resonance Angiography (MRA) stand out as crucial tools for understanding the intricacies of the human body, especially the brain’s vascular system. While they both utilize magnetic fields and radio waves to generate detailed images, they serve distinct purposes. In this blog, we’ll delve into the disparities between MRI and MRA, explore their individual applications, and discuss how they complement each other in diagnosing various neurovascular conditions.

Understanding MRI and MRA:

Magnetic Resonance Imaging (MRI):

MRI is a versatile imaging technique used to visualize detailed internal structures of the body. It provides high-resolution images of soft tissues, organs, bones, and even the brain without using ionizing radiation. MRI works by aligning the body’s hydrogen atoms with a strong magnetic field and then applying radio waves to create signals that are processed into detailed images by a computer.

Magnetic Resonance Angiography (MRA):

On the other hand, MRA is a specialized form of MRI primarily focused on imaging blood vessels. It provides detailed images of blood flow within arteries and veins, offering insights into the vascular anatomy without invasive procedures. MRA employs techniques such as time-of-flight, contrast-enhanced, or phase-contrast imaging to visualize blood vessels and detect abnormalities.

Differences between MRI and MRA:

Purpose:

MRI is used to examine a wide range of anatomical structures and soft tissues.

MRA specifically targets blood vessels, providing detailed images of the vascular system’s anatomy and blood flow.

Contrast Agents:

While MRI can use contrast agents to enhance image quality for certain examinations, it’s not always necessary.

MRA often utilizes contrast agents to highlight blood vessels and detect abnormalities more effectively.

Techniques:

MRI employs various techniques such as T1-weighted, T2-weighted, and diffusion-weighted imaging to visualize different tissue characteristics.

MRA utilizes specific techniques like time-of-flight or contrast-enhanced imaging to highlight blood vessels’ contrast with surrounding tissues.

Applications:

MRI is widely used for diagnosing conditions ranging from musculoskeletal injuries to neurological disorders.

MRA is particularly valuable for diagnosing vascular conditions like aneurysms, stenosis, or arteriovenous malformations (AVMs).

Can MRI and MRA be done together?

Yes, MRI and MRA can be performed sequentially during the same imaging session. This allows comprehensive evaluation of both anatomical structures and vascular flow patterns without requiring separate appointments, providing a holistic assessment for patients with suspected neurovascular disorders.

Clinical Applications of MRI and MRA in Neurovascular Imaging:

Detection of Aneurysms and AVMs:

MRA excels in visualizing the intricate details of blood vessels, making it indispensable for identifying aneurysms or AVMs within the brain.

Assessment of Blood Flow and Stenosis:

MRA accurately assesses blood flow dynamics and detects stenosis (narrowing) within cerebral arteries, aiding in the diagnosis of conditions like ischemic strokes.

Evaluation of Vascular Malformations:

Both MRI and MRA play pivotal roles in identifying vascular abnormalities, guiding treatment decisions for patients with complex cerebrovascular conditions.

Conclusion:

In summary, while MRI and MRA share similarities in their imaging principles, they serve distinct purposes in clinical practice. MRI provides comprehensive anatomical images, while MRA focuses specifically on visualizing blood vessels and assessing vascular health. By leveraging the strengths of both modalities, clinicians can obtain a comprehensive understanding of neurovascular conditions, facilitating accurate diagnosis and personalized treatment strategies for patients.”

Leave a Reply

Get A Quote



    Request Callback From Health Advisor

    4.7

    Based on 423

    google

    Reviews

    Why Choose PrognoHealth..??

    • Best health services from different health service providers offered under one umbrella.

    • Big savings on your healthcare cost

    • Choice & convenience to your employees to avail health services at any of our network centers

    • Customized Health Packages