PrognoHealth – Corporate Health & Wellness Specialist

Last Updated on: July 24, 2024

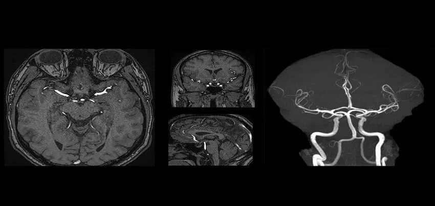
Comprehensive Guide to Brain MRI and Angiography: Procedures, Benefits, and Costs

A Brain MRI, also known as an MRI Brain Scan, utilizes Magnetic Resonance Imaging of the Brain to provide detailed images of brain structures. For a comprehensive evaluation, a Brain Angiography can be performed alongside the MRI. This combined MRI Angiography Brain procedure, often referred to as an MRI Brain with Angiogram, visualizes the blood vessels within the brain, aiding in the diagnosis of vascular conditions. The MRI Brain Angiography Procedure involves the injection of a contrast agent to enhance the visibility of blood vessels, making it a crucial step in the Brain Angiography Procedure. The cost of an MRI Angiography Brain varies depending on the healthcare facility, but it is generally considered a valuable investment for accurate diagnosis. The Brain Angiography Interpretation provides insights into abnormalities such as aneurysms or blockages. An MRI Brain Test, when combined with Angiography, becomes an Angiography Brain Test, offering a dual advantage of structural and vascular assessment. The Angiography MRI Brain technique is pivotal in identifying and treating brain disorders. For those wondering, “What Is A Brain Angiography MRI?” it is a specialized imaging technique combining Brain MRI with Angio, essential for a thorough evaluation. Understanding the Brain Angiography Cost and MRI Brain with Angio benefits helps in making informed healthcare decisions.

Magnetic Resonance Imaging (MRI) Brain + Angiography is a medical imaging test that uses a strong magnetic field and radio waves to create detailed images of the brain and its blood vessels. This non-invasive procedure allows doctors to detect abnormalities or injuries in the brain and the blood vessels that supply it.

Test Conduct and Preparation:
During the test, the patient lies on a narrow table that slides into a large, tunnel-like machine. The machine uses a strong magnetic field and radio waves to create detailed images of the brain and the blood vessels. The test typically takes between 30-90 minutes to complete, and patients must remain still during the procedure.

Before the test, patients may be asked to remove any metal objects, including jewelry and clothing with zippers or snaps, as these can interfere with the magnetic field. Patients should also inform their doctor if they have any metal implants, such as a pacemaker or cochlear implant, as these can also interfere with the test.

Common Symptoms for Ordering the Test:
MRI Brain + Angiography may be ordered for a variety of reasons, including:

Headaches: If a patient is experiencing severe or recurrent headaches, an MRI Brain + Angiography may be ordered to rule out any underlying conditions such as tumors, aneurysms or other abnormalities.

Stroke: An MRI Brain + Angiography may be used to diagnose a stroke, determine the extent of damage to the brain, and identify any blockages or abnormalities in the blood vessels.

Tumors: An MRI Brain + Angiography can help identify the presence of tumors in the brain or surrounding tissues and determine their size, location, and potential for metastasis.

Neurological Disorders: MRI Brain + Angiography can be used to diagnose various neurological disorders, such as multiple sclerosis, epilepsy, and Parkinson’s disease.

MRI Brain + Angiography

Time taken for the test and its results interpretations:
The test typically takes between 30-90 minutes to complete, and patients will receive their results from a doctor or radiologist. The images generated by the test will be interpreted to identify any abnormalities or injuries in the brain or blood vessels.

Results Interpretations:
The interpretation of MRI Brain + Angiography images requires specialized training and experience. The radiologist will examine the images and prepare a report for the patient’s doctor. The report may indicate the presence of any abnormalities or injuries in the brain or blood vessels, the size and location of any tumors, and the extent of any blockages or abnormalities in the blood vessels.

Health checkup, wellness, and corporate health:
MRI Brain + Angiography can be a valuable tool in health checkups, wellness programs, and corporate health initiatives. These programs often include a variety of health screenings and diagnostic tests to identify and prevent health problems before they become serious. MRI Brain + Angiography can be used to detect a variety of conditions, including tumors, aneurysms, and blockages in the blood vessels that supply the brain. Early detection of these conditions can lead to more effective treatment and better outcomes for patients.

In conclusion, MRI Brain + Angiography is a non-invasive diagnostic test that uses a strong magnetic field and radio waves to create detailed images of the brain and its blood vessels. The test can help diagnose a variety of conditions, including tumors, aneurysms, and neurological disorders. It is commonly ordered for patients experiencing severe or recurrent headaches, strokes, or other neurological symptoms. The test typically takes between 30-90 minutes to complete, and patients will receive their results from a doctor or radiologist. MRI Brain + Angiography can be a valuable tool in health checkups, wellness programs, and corporate health initiatives, helping to detect and prevent health problems before they become serious.

Frequently Asked Questions (FAQ’s):

1.What is a Brain MRI?
Answer: A Brain MRI, or Magnetic Resonance Imaging of the Brain, is a non-invasive imaging technique that uses magnetic fields and radio waves to create detailed images of brain structures.

2.What does an MRI Brain Scan show?
Answer: An MRI Brain Scan provides detailed images of the brain’s anatomy, helping to identify abnormalities such as tumors, inflammation, and structural defects.

3.What is Brain Angiography?
Answer: Brain Angiography is an imaging test that uses a contrast agent to visualize the blood vessels in the brain, aiding in the diagnosis of vascular conditions like aneurysms or blockages.

4.How is an MRI Angiography Brain performed?
Answer: An MRI Angiography Brain involves injecting a contrast agent into the bloodstream, followed by an MRI scan to capture detailed images of the brain’s blood vessels.

5.What is the Brain Angiography Procedure like?
Answer: The Brain Angiography Procedure includes the injection of a contrast dye and a series of MRI scans to visualize the cerebral arteries and veins, typically taking 30 to 60 minutes.

6.How much does an MRI Angiography Brain cost?
Answer: The MRI Angiography Brain Cost varies by location and healthcare provider, depending on the complexity and specific requirements of the test.

7.Why is an MRI Brain Test important?
Answer: An MRI Brain Test is crucial for diagnosing and monitoring neurological conditions, providing high-resolution images that help in the accurate assessment of brain health.

8.What is involved in an MRI Brain Angiography Procedure?
Answer: The MRI Brain Angiography Procedure includes administering a contrast agent and performing an MRI scan to visualize both brain structures and blood vessels.

9.How is Brain MRI Interpretation conducted?
Answer: Brain MRI Interpretation is performed by a radiologist who analyzes the MRI images to identify any abnormalities in the brain’s structure or blood vessels.

10.What conditions can an Angiography Brain Test detect?
Answer: An Angiography Brain Test can detect conditions such as aneurysms, stenosis, vascular malformations, and other cerebrovascular abnormalities.

11.Is an Angiography MRI Brain safe?
Answer: Yes, an Angiography MRI Brain is generally safe, with the primary risks being related to the contrast agent, which is usually well-tolerated by most patients.

12.What should I expect during a Brain MRI with Angio?
Answer: During a Brain MRI with Angio, expect to lie still in an MRI scanner while the contrast dye is injected, followed by a series of images being taken to visualize brain and vascular structures.

13.What is the benefit of combining Brain MRI with Angiogram?
Answer: Combining Brain MRI with Angiogram provides a comprehensive view of both brain anatomy and vascular health, enhancing diagnostic accuracy for conditions affecting the brain and blood vessels.

14.How is the cost of Brain Angiography determined?
Answer: The Brain Angiography Cost is determined by factors such as the facility’s location, the complexity of the test, and whether additional imaging techniques are required.

15.Can an MRI Brain with Angio diagnose all brain-related issues?
Answer: While an MRI Brain with Angio is highly effective, it may not diagnose all brain-related issues, but it significantly aids in identifying structural and vascular abnormalities for further evaluation.

Leave a Reply

Get A Quote



    Request Callback From Health Advisor

    4.7

    Based on 423

    google

    Reviews

    Why Choose PrognoHealth..??

    • Best health services from different health service providers offered under one umbrella.

    • Big savings on your healthcare cost

    • Choice & convenience to your employees to avail health services at any of our network centers

    • Customized Health Packages